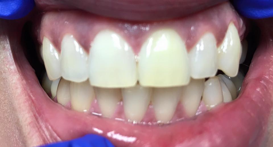
It probably had some sort of trauma and now the nerve has died causing it to turn dark, or maybe you had a root canal on it and it has gradually turned dark over time.

Here at Foote Family Dental, We can do the root canal and bleach the tooth from the inside to whiten the tooth or bleach a tooth that has already had a root canal.
This treatment
is safe, painless and conservative because you do not have to get a dental crown! For more information or to schedule a consultation, Contact us today!
